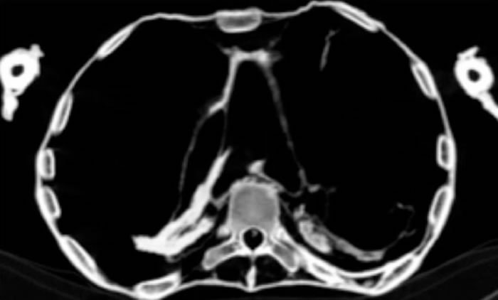
埃及1881年发现的代尔埃尔巴哈里皇家墓穴中3000年前“尖叫女人木乃伊”死于
埃及1881年发现的代尔埃尔巴哈里皇家墓穴中3000年前“尖叫女人木乃伊”死于心脏病发
埃及1881年发现的代尔埃尔巴哈里皇家墓穴中3000年前“尖叫女人木乃伊”死于心脏病发(Credit: CAIRO UNIVERSITY)
(报道)据ETtoday(吴美依/编译):埃及乐蜀(Luxor)于1881年发现的代尔埃尔巴哈里(Deir El-Bahari)皇家墓穴中,有一具木乃伊张大嘴巴、双腿弯曲交叉,因死状凄惨而被命名「尖叫女人木乃伊」。知名埃及古物学家哈瓦斯(Zahi Hawass)与开罗大学放射学教授萨利姆(Sahar Saleem)透过电脑断层扫描研究发现,这名埃及公主3000年前因心脏病发骤逝,终于解开多年谜团。
根据埃及《金字塔报》(Ahram Online),哈瓦斯表示,木乃伊死前看似非常恐惧、痛苦,张大嘴巴仿佛在尖叫,经电脑断层扫描研究与分析后发现,这名60多岁的女性冠状动脉出现严重动脉粥样硬化(Atherosclerosis),影响许多血管,导致心脏病发而突然死亡,但遗体获得良好防腐处理。
哈瓦斯也提到,木乃伊似乎是在双脚交叉、弯曲的情况下死亡,也因为突然断气,导致头部右倾,嘴巴张开,而且遗体「可能数小时以后才被发现,时间久到足以变得僵硬」。他指出,由于当时的人们无法让遗体躺平,或把嘴巴阖起,因此保留了死亡时的脸部表情与姿势。
包裹着木乃伊的亚麻布上用古埃及僧侣体(Hieratic)文字写着「王室的女儿,梅雷特阿蒙(Meret Amon)的王室姊妹」,但由于当时许多公主名字相同,因此这具木乃伊还是被认为身分不明,以「未知女性A木乃伊」代称。
埃及木乃伊计画的科学团队利用电脑断层扫瞄与DNA研究,于2018年证实皇家墓穴里另外一具「尖叫男人木乃伊」的真实身分,就是法老拉美西斯三世(King Ramses III)的儿子彭塔瓦尔(Pentawere)。
彭塔瓦尔因涉入弑父夺走王位的「后宫阴谋」(Harem Conspiracy)被迫自缢,且遗体不得被做成木乃伊,改用羊皮包裹,意指此人是「不洁」的,来生将受到惩罚。据悉,墓穴内其他木乃伊都被包裹在白色亚麻布中,经仔细防腐处理,做成木乃伊。
-
- 人类勾当导致天下面对第六次生物大灭尽
-
2024-02-29 17:52:22
-
- 一亿年后或将呈现美亚超等大陆
-
2024-02-29 17:50:18
-
- 哈萨克斯坦南部古丝绸之路沿线发掘过程中发现逾千年历史完整猫咪骨骼
-
2024-02-29 17:48:13
-
- 盘点“诡异”图片 骑着老鹰的乌鸦
-
2024-02-29 17:46:09
-
- 九大神奇动物:奇特的“自由膨胀”术
-
2024-02-29 13:58:16
-
- XENON1T暗物质实验发现神秘信号:太阳轴子或存在
-
2024-02-29 13:56:12
-
- 基因组测序显示蝙蝠在6500万年里是如何战胜病毒的
-
2024-02-29 13:54:07
-
- 英国考古学家在距离巨石阵3公里处发现4500年历史的新石器时代遗址
-
2024-02-29 13:52:03
-
- 动物世界里最让人费解的十大神秘现象
-
2024-02-29 13:49:58
-
- 美俄30年不敢登月原因 或与外星人有关
-
2024-02-29 13:47:54
-
- 美国亚利桑那大学史都华天文台天文学家发现早期宇宙中质量最大的类星体J1007
-
2024-02-29 13:45:49
-
- 《科学》期刊:流入海洋的塑料垃圾量在接下来20年间将增加到现在的三倍
-
2024-02-29 13:43:45
-
- 天下上10种“变异怪兽”新吉尼斯
-
2024-02-29 13:41:41
-
- 研究揭示地球磁场改变方向的速度要比原先预计的快得多
-
2024-02-29 13:39:36
-
- 真实存在的灵异物品 千万不要碰
-
2024-02-29 07:39:05
-
- 全球十大神秘禁地 51区仅排名第五
-
2024-02-29 07:37:01
-
- 揭10个日本人不对外人说的“秘密”
-
2024-02-29 07:34:56
-
- 秘密解剖外星人沉睡60年的真相
-
2024-02-29 07:32:51
-
- 世界十大神秘禁地 51区莫斯科地铁在列
-
2024-02-29 07:30:47
-
- 玛雅水晶骷髅被误传百年
-
2024-02-29 07:28:43